Pàgines

dilluns, 11 de novembre del 2013

Desmuntant mites: Cada embaràs una dent

La sabiduria popular adverteix que cada embaràs costa una dent. Però si la dona embarassada pren senzilles precaucions per a la seva salut dental, això no hauria de passar.
En realitat, la pèrdua de dents que s'ha atribuït a l'embaràs es deu a la presència de caries que, òbviament estaven ja presents abans de l'embaràs. El que si provoca el embaràs a la boca és una major inflamació de les genives, especialment si les genives ja presenten inflamació abans de l'embaràs. És el sagnat de les genives el que porta a la dona al dentista durant el embaràs, i és a les hores quan es detecten les caries que ja estaven presents, i el que, en alguns casos, es fa necessari l'extracció de les dents afectades.


Font | cuida tus encías (revista)

dimecres, 6 de novembre del 2013

La Hepatitis B es pot contagiar al compartir raspall de dents

L'Hepatitis B es troba a la saliva, a la sang i al semen de les persones infectades  o de portadors crònics, el que fa que, encara que el risc sigui baix, el contagi es pugui produir al compartir raspall de dents o una màquina d'afaitar.
Per això, és important no utilitzar el raspall de dents d'altres persones ni tan sols l'elèctric (existeix el risc de contaminació del mànec i de la peça metàl·lica vibratòria), això també s'aplica al tub de pasta dentífrica (degut a contacte amb l'instrument contaminat amb sang amb la boca de l'envàs).
Però, el contagi més freqüent es produeix per contacte sanguini degut a drogues i procediments infecciosos.
El "Colegio Oficial de Dentistas de Santa Cruz de Tenerife" recorda que les persones amb qualsevol tipus d'hepatitis han d'anar al seu dentista amb freqüència, ja que són més propensos a les afeccions bucals.

divendres, 25 d’octubre del 2013

Historia sobre el raspall de dents

Tot va començar a la presó, quan obligaven al condemnat anglès William Addis a rentar-se les dents amb un drap amarat de sutge i sal. El 1780, Addis va pendre un os, hi va fer forats, hi va passar pèls de vaca i va inventar el raspall de dents.
Però Addis va ser prou llest per perfeccionar-lo i començar a fabricar el seu model en sèrie un cop fora de la presó. El 1808, quan va morir, l'empresa va passar al seu fill. I la cosa ha funcionat tant bé que avui l'empresa es manté, amb el nom de Wisdom Toothbrushes. El raspall va trobar un company ideal el 1873, quan Samuel Colgate, fill d'un fabricant de sabons, va fabricar una pasta de dents aromàtica en pot. I el 1892 el dentista americà Washington Sheffield va inventar el dentifrici en tub.
Tot i així, sembla que a les llars nord-americanes no era habitual fer servir aquests estris. A la Segona Guerra Mundial els soldats reben l'ordre de rentar-se les dents diàriament, i després van dur el costum militar a casa.
El 1956, el suís Philippe-Guy Woog va inventar el raspall elèctric. Pensat inicialment per a gent amb mobilitat reduïda, quan es va estendre va eliminar l'únic exercici físic intens que moltes persones feien durant tot el dia.

Font | Sàpiens, Xavier Duran

divendres, 11 d’octubre del 2013

Desmuntant mites: Si es te "piorrea", es perden totes les dents

La malaltia periodontal vulgarment coneguda com "piorrea" provoca la perdua de l'os al voltant de les dents. Sense el tractament adequat les dents comencen a moure's i es perden, pero actualment el tractament de la periodontitis es altament eficaç, facilitant el mantenimeniment de les dents durant tota la vida en la major part dels casos.

dilluns, 7 d’octubre del 2013

La periodontitis redueix el rendiment esportiu

La persistència de la malaltia periodontal podria estar relacionada amb la disminució de la capacitat muscular, de la flexibilitat i de la velocitat en la resposta física en esportistes.
Estudis recents, han tractat d'establir i esclarir la relació entre resposta física i problemes periodontals. Encara que encara falten estudis definitius al respecte, existeixen raons fundades per pensar que unes genives sanes constitueixen una bona garantia d'un rendiment físic adequat. De fet, tradicionalment, es recomana als esportistes que realitzin revisions bucals per descartar problemes orals que puguin estar relacionats amb problemes musculars o articulars de causa desconeguda.
A més, segons els estudis més recents publicats en aquest àmbit, es suggereix que les persones que realitzen esport de forma habitual i que presenten un índex de massa corporal saludable podrien tenir una menor predisposició a sofrir una periodontitis. Inclús, hi han molts altres estudis que apunten que l'obesitat pot ser un factor de risc de periodontitis, igual que de diabetis i malalties cardiovasculars.

divendres, 4 d’octubre del 2013

Malalties de les genives i disfunció erèctil: una relació directe

Tant la malaltia periodontal com la disfunció erèctil estan associades amb malalties de tipus cardiovasculars, i amb els factors de risc d'ambdues, entre els que s'inclouen el tabac i la diabetis; de totes maneres, ara també s'ha detectat que existeix una associació directe entre la malaltia periodontal i la disfunció erèctil.
En els últims anys, s'han realitzat estudis que han intentat establir aquesta connexió, que podria basar-se en l'existència de factors fisioterapèutics. La periodontitis podria provocar una situació d'inflamació sistemàtica o general que, a la vegada, produiria una disfunció a l'endoteli dels vasos sanguinis, que podria afectar els vasos cavernosos del penis.
En una mostra de 305 pacients van observar que aquells amb disfunció erèctil tenien una prevalença significativament més gran de periodontitis que els que no tenien aquest problema. Recentment, altres autors han conclòs que els pacients amb disfunció erèctil tenen més del triple de possibilitats de tenir una periodontitis prèvia, pel que aconsellen als dentistes que informin als pacients de la possible associació entre periodontitis i disfunció erèctil.
Són necessaris molts estudis en el futur per confirmar si aquesta associació és real o només comparteixen els mateixos mecanismes patogènics.

dilluns, 1 de juliol del 2013

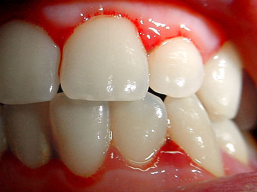
Desmuntant mites: Millor no raspallar-nos perquè ens sagnen les genives

Una geniva sana no ha de sagnar i, si ho fa, és perquè alguna cosa no va bé. La majoria dels pacients atribueixen  el sagnat quan es raspallen les dents, al tipus de raspall o a la tècnica usada, sense saber que la causa del sagnat és una malaltia de les seves genives que ha de ser tractada.
El sagnat de les genives és un signe d'inflamació i de malaltia.

dijous, 27 de juny del 2013

Preguntes i respostes Invisalign

P: Quant de temps passara el meu fill a la consulta del dentista?
R: Invisalign  necessita molt poca manipulació i manteniment per el dentista per que sigui eficaç, per el que el seu fill no passara massa temps a la consulta del dentista. Desprès de la cita inicial, es programaran normalment cites de seguiment cada quatre a sis setmanes (o segons les recomanacions del dentista) per comprovar el progres i entregar al seu fill el següent joc d'aligners.

P: Invisalign és tant eficaç com els brackets tradicionals?
R: En mans d'un dentista competent i experimentat i quan es segueixen els seus consells, Invisalign es tant eficaç com els brackets tradicionals en la majoria dels tipus de tractaments.

P: És fàcil mantenir les dents netes amb Invisalign?
R: Invisalign permet que el pacient es tregui els aligners per menjar, utilitzar el fil dental o raspallar-se les dents, ja que es molt més fàcil mantenir una higiene bucal adequada amb aquest producte que amb brackets fixes tradicionals.

P: Quines altres avantatges ofereix Invisalign sobre els brackets tradicionals?
R: A més de una higiene bucal en alguns casos millorada, Invisalign facilita la pràctica d'un estil de vida actiu, a diferencia dels brackets i cables fixos. Degut a que el producte és extraïble, és fàcil fer esport o tocar un instrument com qualsevol altre persona, com si no seguis un tractament.

P: Com sabré amb quina freqüència porta el meu fill els aligners?
R:
A partir dels Compliance Indicators ubicats a l'aligner superior es pot saber aproximadament el temps que els seu fill porta el producte. Los Compilance Indicators estan dissenyats per anar perdent el color blau a mida que es porten els aligners, per el que es pot garantir fàcilment el compliment del tractament per el seu fill.

P: Que passa si no es porten els aligners durant el temps recomanat?
R: La màxima eficàcia d'Invisalign s'aconsegueix si es porta seguint les recomanacions del seu dentista. En general, els aligners s'han de portar entre 20 i 22 hores al dia per aconseguir la màxima eficàcia, i treure'ls únicament per menjar, raspallar-se les dents i utilitzar el fil dental.

P: Quant dura el tractament amb Invisalign?
R:
La duració del tractament depèn de la complexitat del cas i l'ha de decidir el dentista. Tot i aixo, la duració mitja és entre 9 i 18 mesos.

P: Invisalign funciona realment?
R:
Si. En clíniques de tot el mon, Invisalign ha sigut eficaç redreçant dents per adolescents i adults. Més de 64.000 odontòlegs han tractat ja a quasi més de 1.4 milons de persones amb Invisalign a nivell mundial.

P: Que passa si es perd un dels aligners o els dos?
R:
En cas de pèrdua d'un aligner, has d'informar d'això immediatament al teu dentista. Depenent de la fase del tractament en el que estiguis, el dentista pot dir-te que tornis a portar la parella d'aligners anteriors, en aquest cas, demanara un nou joc d'aligners per substituir als aligners perduts, o passara immediatament a la nova parella d'aligners.

dimecres, 12 de juny del 2013

Desmuntant mites: El mal ale esta relacionat amb problemes d'estomac

La halitosis o mal ale s'origina en un 85-90% de les vegades en la cavitat oral.
El mal ale procedeix del metabolisme dels bacteris anaerobics que hi han a la boca; aquestes són capaces de degradar proteïnes procedents de les pròpies celules del nostre organisme o d'altres bacteris i de la nostre dieta, produint-se compostos sulfurats volàtils.
Una higiene oral deficient, especialment entre les dents, malalties a les genives com la gingivitis i la periodontitis, i la presencia excessiva de substrats a la llengua són les causes més habituals d'halitosis.

divendres, 24 de maig del 2013

Nou servei a la Clínica, ortodòncia amb Invisalign


Invisalign és la clara alternativa als brackets convencionals. Són còmodes, extraïbles i, el millor de tot, practicament invisibles. Aixis ningu sabra que els portes posats.
Fins ara, uns 64.000 odontòlegs han tractat a més de 1.4 milions de persones amb Invisalign.

Al contrari del que passa amb els brackets fixes, Invisalign et permet extreure els aligners, per el que pots seguir fent vida normal, j
a sigui practicar un esport, tocar un instrument musical o menjar i beure, a més de poder raspallar-te les dents i utilitzar fil dental amb tota tranquil·litat.
Com en tantes altres qüestions a la vida, no només importa una bona aparença. També és important sentir-se bé. Gràcies a la seva flexibilitat i a la absència de fils metàl·lics, Invisalign és especialment adequat per poder seguir raspallant-se les dents i la boca, per el que no hauràs de preocupar-te per a la irritació i les molèsties provocades per els brackets metàl·lics.

divendres, 17 de maig del 2013

Hipersensibilitat dental: del problema a les solucions (part 3)


Si encara actua la hipersensibilitat, s'ha de procedir al seu tractament clínic.
Des de fa anys s'han utilitzat substancies, introdudes en pastes dentals, gels, glopeigs i sprays, unes amb més eèxit que d'altres. Els tractaments amb més èxit són els que tenen a la seva composició sals de potassi.

Les teràpies actuals no curen la sensibilitat dental; en gran part, ajuden a calmar el dolor.

S'ha de separar el raspall dental dels moments immediatament anteriors o posteriors a la ingesta de substàncies àcides.

El pH 7 correspon a les solucions neutres, de forma que segons es baixa la xifra les substàncies tenen un major grau d'acidesa.
A continuació, una serie de begudes comuns amb el seu corresponent índex de PH:

Substancies a evitar:
  • Vinagre == 1.9
  • Vi Tinto == 3.2/3.5
  • Xarop mucolític == 2
  • Yogurt == 3.3
  • Coca Cola/Pepsi Cola == 2.3
  • Vi blanc == 2.4
  • Vinagre balsamic == 3.4
  • Cervesa == 3.8/3.9
  • Suc de taronja == 2.5
  • Suc de poma == 4.1
  • Red Bull == 3.1
  • Cafè == 5.5

I fins aquí arribem al ultim article de Hipersensibilitat dental: del problema a les solucions.

Part 1 de l'article.
Part 2 de l'article.

divendres, 10 de maig del 2013

Hipersensibilitat dental: del problema a les solucions (part 2)

En la possible aparició d'aquest trastorn, la dieta guanya una especial importància. Moltes dietes que es consumeixen habitualment, són molt àcides; encara que poden ser molt saludables per l'organisme en general, no ho són per l'esmalt i la dentina.
Es important comprovar el pH de les diferents substancies i aliments per poder realitzar recomanacions dietètiques adequades als pacients amb hipersensibilitat  dental o exposició a la dentina. El pH crític en el que es dissol l'esmalt esta entre 5 i 5,5 (la majoria de sucs de fruita tenen un pH per sota d'aquest).
Les persones que prenen freqüentment begudes àcides són més propensos a sofrir hipersensibilitat. Encara que no provoquen una erosió tan ràpida com el suc d'aranja o de taronja, les begudes carbonatadas com els refrescs de cola, també erosionen la sensibilitat dental.

Un factor primordial en el correcte tractament es el consell dietètic. "És essencial fer-li veure al pacient aquests àcids amagats en les begudes i aliments." diu la Dra. Cristina Serrano.
Qualsevol tipus de tractament en el que no s'actuí sobre factors etilògics, pot aconseguir efectes positius de curta durada, amb el qual només tindrà èxit parcialment.
Lo fundamental, és instaurar mesures preventives, que ajudin a evitar la hipersensibilitat, i a potenciar encara més el tractament. En la consulta, el professional ha d'analitzar les causes que han provocat la hipersensibilitat i ensenyar al pacient a evitarles.
Senzilles accions poden ajudar a evitar la aparició. Per exemple, la eliminació de productes de naturalesa àcida a la dieta, l'ús de raspalls dentals amb filaments suaus i pastes dentífriques no abrasives o tractaments dentals preventius. A més, es aconsellable utilitzar tècniques de raspallat vibratòries que, a diferencia de les rotatòries, no desplacen els filaments i desgasten menys.

Part 1 de l'article.
Part 3 de l'article.

dimecres, 1 de maig del 2013

Hipersensibilitat dental: del problema a les solucions (part 1)

Aproximadament, 1 de cada 4 persones pateixen d'hipersensibilitat.
Es caracteritza per un dolor com a resposta a estímuls tàctils, tèrmics, químics o osmòtics.
Es produeix per una exposició de la dentina al medi oral, degut a una retracció de la geniva o per causa d'un desgast de tipus traumàtic (un raspallat agressiu) o de tipus químic (per la utilització de diferents àcids en menjars i begudes).

Aquest trastorn s'origina quan els conductes dentals, que guarden les terminacions nervioses, queden al descobert i aixo dona lloc a estímuls en resposta a accions quotidianes com són la ingesta de begudes o menjars freds o calents, el raspallat, etc.

L'ús de tècniques inadequades de higiene bucal, raspalls durs i pastes abrasives, las erosions químiques per àcids o acumulació de placa bacteriana, poden provocar la hipersensibilitat dental.

Algunes persones presenten un major risc de sofrir hipersensibilitat dental; entre elles; les que es raspallen vigorosament les dents, aquelles amb recessió gingival, les que estan en tractaments periodontals, els bulímics amb els seus vòmits àcids o les persones amb problemes periodontals o exposicions anormals dels colls de les dents.

Part 2 de l'article.
Part 3 de l'article.

dimecres, 24 d’abril del 2013

Relació entre la perdua de dents i els riscs cardiovasculars

En la reunió del Col·legi Americà de Cardiologia es va presentar un estudi, en el que es demostrava que la pèrdua de dents podria estar relacionada amb factors de risc cardiovasculars com la diabetis, el tabaquisme, la hipertensió o la obesitat.

El equip va estudiar la prevalença de pacients amb pèrdues de dents i la de hemorràgies a les genives, aixis com la relació amb factors de risc cardiovascular.
De les 16000 persones, el 40% tenien menys de 15 dents, el 16% cap, manifestant el 25% sofrien hemorràgies a les genives.

Els responsables van concloure que per cada dent perdut, els pacients tenien més nivells de LpPLA2.
També van observar un increment d'altres marcadors de risc cardiovascular, com el colesterol LDL o dolent, el sucre a la sang, la pressió arterial...

Per ultim cal dir que cada dent caigut va representar un 11% de l'increment  en les posibilitats de patir diabetis. Per altra banda, la sang a les genives es va associar  amb majors nivells de colesterol dolent i de pressió arterial.

divendres, 19 d’abril del 2013

Desmuntant mites: Els glopejadors i els respalls

Desmuntant mites en al salut bucodental
Els respalls durs i els glopejadors forts netegen millor.

En la majoria de casos s'accepta que els raspalls durs són més efectius per eliminar la placa bacteriana i les taques a les dents, pero això no es del tot veritat.
En realitat, el respatllat amb un raspall de puntes dures o el respatllat brusc o traumàtic produeix desgast a l'esmalt i retracció a les genives, quedant exposada l'arrel de la peça dental.

Tampoc es del tot cert que un glopejador vocal fort o amb molt alcohol es indispensable per la salut de les genives; de fet, els glopejadors amb alt contingut en alcohol poden produir sequedat dels teixits orals al modificar la quantitat i qualitat de la saliva.

dilluns, 8 d’abril del 2013

Els efectes de l'amalgama en la salut

Composició amalgamaL'amalgama és un material de restauració a base de mercuri i un aliatge que conté plata, estany i coure. S'utilitza des de fa uns 150 anys en les restauracions de les dents. Durant aquest període s'han fet moltíssimes restauracions, sense que consti amb un mínim rigor científic l'existència d'efectes deleteris per a la salut.


El mercuri és un material tòxic que si no s'utilitza correctament, pot causar contaminació del medi ambient i ingressar en la cadena alimentària humana. Per això, s'han dissenyat protocols guiats a minimitzar aquesta contaminació.

Cal subratllar que l'amalgama és l'únic material clínicament viable per a les cavitats patológiques, perquè per sota de la geniva no es pot aconseguir la necessaria estanquitat. L'unic que pot acceptar un defecte d'aïllament es l'amalgama.
La resta de materials (resines, compostes, ionòmers de vidre, ciments per a adhesió de ceràmica, etc.) són incompatibles amb la humitat ja que pot provocar gèrmens i evoluciona ràpidament cap a una càries recurrent.
D'altra banda, cap altre material de restauració és innocu al 100%
Cal fer constar que algunes vegades, l'única alternativa possible a les restauracions d'amalgama és l'extracció de la dent, perquè cap altre material proporciona una solució teurapèutica a mig termini, pel fet de no poder impedir la recurrència de la càries.

Exemple amalgama

Per tot això, l'Organització Col·legial insisteix que cal mantenir la comercialització de les amalgames dentals, sense que això vulgui dir que no s'haigin de prendre les mesures preventives contra la contaminació. Ja que la substitució d'aquestes continuaria produint contaminació.

divendres, 5 d’abril del 2013

Una raó de pes per cuidar les dents i genives

El control del pes i el exercici físic poden ajudar a reduir el risc de malalties de les genives. En un estudi publicat al "Journal of Periodontology", s'ha arribat a la conclusió que els individus que mantenen un pes  adequat i fan exercici físic regularment presenten una menor incidència de periodontitis greu.
Utilitzant el Index de Massa Corporal (IMC) i el percentatge de grassa corporal com a mides per controlar el pes, i el consum d'oxigen (VO2max) com a mida del exercici físic, els investigadors van comparar aquestes variables amb els resultats del examen periodontal.
Els individus amb menys IMC i més nivells d'exercici físic tenien significativament tasses de periodontitis menys elevades.

Samuel Low, president de l'Acadèmia Americana de Periodoncia, afirma que:
"les investigacions que relacionen salut preiodontal amb salut general haurien de motivar a la població a mantenir un pes saludable i a fer exercici físic".

dimecres, 27 de març del 2013

Desmuntant mites: Els escuradents

Desmuntant mites en al salut bucodental
El que millor em va després dels àpats son els escuradents:

L'us dels escuradents, que no estiguin específicament dissenyats per netejar la placa entre les dents, no es aconsellable, ja que amb ells pot produir-se una lesió en el espai entre les dents ocupades per la papila, de forma que s'infringeix un trauma repetitiu que s'ha d'evitar. La seda dental (si no hi ha espai entre les dents) o el raspall interproximal (si entre les dents hi ha prou espai) son les opcions més recomanades per substituir definitivament la funció que fan els escuradents.
Això si, hi han escuradents específicament dissenyats per la higiene interdental, amb eficàcia demostrada en el control de la placa interdental i en la inflamació gingival.

dimecres, 6 de març del 2013

Millor salut bucodental, menys problemes respiratòris


El manteniment de la salut periodontal pot contribuir a la salut respiratòria, ja que la malaltia preiodontal     pot augmentar el risc de l'aparició d'infeccions respiratòries com la pneumònia.

Segons un estudi realitzat amb pacients hospitalitzats amb malalties respiratòries i altres sans als quals se'ls hi ha realitzat un examen periodontal s'ha demostrat una relació entre la malaltia respiratòria i la malaltia periodontal augmentant el risc o aguditzant les malalties respiratòries.

divendres, 22 de febrer del 2013

Salut oral i embaràs

Durant l'embaràs i lactància:
Una bona salut oral durant l'embaràs té un impacte positiu, tant pel que fa a la salut de la mare com en el nadó si més no una vegada i preferentment durant el segon trimestre del embaràs.
Tenir una correcta higiene dental, portar una dieta equilibrada, així com evitar el tabac i controlar la diabetis son fonamentals per tenir una correcta salut oral i prevenir els principals problemes dentals propis de l'embaràs com poden ser les càries i la gingivitis, ja que la composició de la saliva canvia al final de la gestació i durant la lactància. A més la malaltia periodontal es pot veure agreujada pels canvis vasculars i hormonals.
Davant una situació de dolor, infecció, urgència, càries o malaltia periodontal es recomana acudir a l'odontòleg, ja que tractar una càries o malaltia de les genives no suposa cap risc ni per l'embarassada ni pel nadó.
Cal remarcar altres patologies com la sequedat, mobilitat dentària i l'erosió de l'esmalt durant els primers mesos de l'embaràs.


Durant la infància:
La càries és una malaltia crònica més freqüent en la infància, pot ser per relació genètica o a través de certs hàbits com podrien ser els petons, provar el menjar amb la cullera, xupar el biberó o el xumet del nadó. Aleshores es recomana adoptar hàbits saludables per prevenir la càries infantil.
La neteja bucodental ha d'estar supervisada per els pares com l'ús del fluor.
Es recomana que el nen visiti l'odontòleg al primer any i que l'ús del biberó i xumet no es perllongui més enllà de l'any.

Designed by NAKAMA PRODUCTIONS